驚!牙簽卡在喉嚨裏!内鏡中心3分鍾取出異物!
發布時間:2020-04-14 閱讀:4736
該名患者平常習慣将牙簽含在嘴裏,這次竟然一時分神将其吞了進去,悲劇發生了,牙簽插進喉嚨裏,疼痛難忍。遂到我院内鏡中心取異物。
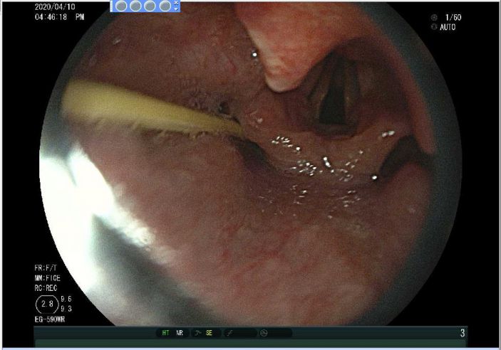
内鏡中心莊義先主任将内窺鏡經患者口腔送至食管入口處,窺鏡下清晰顯示一長約4cm的牙簽,一頭插進咽部左側梨狀窩中,随即用鳄魚取物鉗将牙簽輕輕取出。幸好取出及時,患者并無大礙。
莊主任介紹,喉嚨被異物卡住的病例比較多,内鏡中心每月都要開展多例内窺鏡取咽喉異物。他提醒,牙簽等硬物最好不含在嘴裏,吃大棗和橄榄最好等核吐掉再講話,因爲棗核、橄榄核誤吞的病例也不少見,給小孩喂魚肉時家長最好把魚刺先取幹淨。
出現硬物卡在喉嚨裏時,應盡快到醫院内鏡中心取出,千萬不要嘗試吞飯等方式将其帶進胃裏,這會加大食道被硬物劃傷、刺穿等風險,甚至穿透食管壁刺傷主動脈而危及生命,就算吞進胃後也可能造成其它的損傷或嚴重後果,如進入小腸造成穿孔和出血。

△内窺鏡下清晰可見一長約4cm的牙簽卡在喉嚨中

△牙簽被成功取出。











